当院ではMRI・CT検査依頼、画像診断をうけたまわっております。
最新鋭の機器を導入しており、臨床に役立つ画像検査を追求して行っております。先生方の医療に少しでも役立つことができれば幸いです、ぜひご活用ください。
ご予約、お問い合わせ 04-2934-5050
貴院の病院名を言って頂き、検査依頼とお申し付けください。担当課へ転送いたします。
検査依頼担当より下記の事項を伺います。
検査日決定後に下記の事項を伺います。
※放射線科専門医の読影は週2~3回です。
読影結果の日時につきましては当法人の永仁会シーズクリニック(毎週水曜日定休)の常勤放射線科医との間で遠隔読影も行っています。読影結果返却日はご相談ください。
※検査結果に付きましてはフィルムは勿論、デジタル情報でもお配りしております。
※当院~武蔵藤沢駅までの定期無料送迎バスもございます。ぜひご活用ください。
※詳しくは検査依頼担当へご連絡ください。ご一報頂ければ利用方法等ご説明に参ります。
他、どのような質問でも構いません。お問い合わせをお待ちしております。


PHILIPS社製 Ingenia3.0T CX / Achieva1.5T NOVA
3.0T-MRIは急速に普及してきており、従来の1.5T-MRIと比較して飛躍的に信号強度が向上します。従って1.5Tよりも高精細な画像を取得でき、不鮮明だった疾患や小病変をはっきり認識することができます。
当院では従来3.0Tの画質をさらに飛躍させるMR業界初のデジタルコイルを導入しております。
また、新しい高速撮像技術であるCS(圧縮センシング)というソフトウェアも導入しました。
CSとは少数のサンプリングデータから画像に必要な基データを推定し画像を再構成する技術です。これらのことにより撮影のさらなる高速化や画像の鮮明化が可能となります。
1.5T-MRIも高性能な装置で幅広い検査に対応できる仕様となっています。
中でも32chトルソカーディアックコイルは腹部、骨盤部などの体幹部の検査において大きな力を発揮します。
当院では心筋虚血や心筋梗塞の評価を心筋パフュージョンにて行っており、約1700例の実績があります。この検査は負荷心筋シンチグラフィーより高い心筋虚血検出能が示されており、心臓カテーテルと比較しても特異度・感受性ともに80%以上と報告されています。
遅延造影による心筋の評価や冠動脈狭窄の評価についても診断が可能になりました。
冠動脈MRIは分解能においては造影CTAには及ばないものの、被曝を伴わず非造影で行えることが大きな利点と考えています。


キヤノンメディカル社製 Aquilion One NATURE Edition
キヤノンメディカル社製 WS:Vitoria
従来のCTよりも画質の向上、被曝線量の減少、検査時間が短縮されました。
今回導入される320列CT装置『Aquilion One』は、
0.5mmの検出器320列で構成され、管球一回転で160mmの撮像範囲をカバーしたVolume Scanが行えます。頭部や心臓などの体軸方向160mm以内の臓器全体がわずか一回転0.275秒で撮影できます。
1.大幅な検査時間の短縮
一回転0.275秒で160mmの撮影ができるため、息止めの難しい高齢者や患者様への負担を減らすことができます。
2.画質の向上、被曝線量の減少
高速スキャンによりモーションアーチファクトが減少し、画質が向上します。
すべてのスキャンデータを最小0.5mmに再構成することによりMPRの画質も向上します。
Volume ECにより管電流を変動させることが可能であり、これにより無駄な被曝を限りなく低減します。また、新たに導入した 『AIDR 3D』『FIRST』『AiCE』という新しい画像再構成技術によりさらなる高解像度・高画質と最小限の被曝を実現しました。
(株)キヤノンメディカル社製 Vitoria
ZIO社製 ZIOStation2
検査装置の進歩により、臨床医より求められる画像も変化してまいりました。装置の性能だけでなく画像解析・画像処理を行うワークステーションも正確な診断には必要不可欠であり、非常に重要なツールとなってきています。
当院では、心臓解析やCTC解析などの専用ソフトウェアを導入した数台のワークステーションを併用して稼働させることで作業効率を高め、早期診断へと役立てています。
当院ではさまざまな部位のMRI・CT画像診断を行っており、その一部をご紹介します。
EOBプリモビストによる肝MRI
肝細胞に特異性を有する造影剤を使用した検査です。ダイナミックによる血流評価と遅延相による細胞機能評価を同時に行うことができます。

<Dynamic撮影>
<肝細胞相>
<肝細胞がん>
<肝細胞がん>VSRAD(早期アルツハイマー型認知症検査)
アルツハイマー型認知症では海馬・海馬傍回の萎縮が最も早く起こることが判明していますが、MRI画像情報での視覚的評価は難しいとされています。
VSRAD(アルツハイマー型認知症診断支援システム)を使用し、脳の容積をボクセル単位でコンピューター解析する画像統計解析法で早期アルツハイマー型認知症特有の「海馬傍回の萎縮の程度」を解析評価します。

<MRI冠状断>
<VSRADによる解析情報>
<VSRADレポート>
現状ではこの検査は50才以上の方が対象となります。また解析結果はあくまで補助診断であり、診断は臨床情報をもとにした医師の総合診断が必要です。
非造影による管腔構造描出
造影剤を使用することなく、非侵襲的に有用な情報が得られます。

<正常脳血管>
<正常頚部血管>
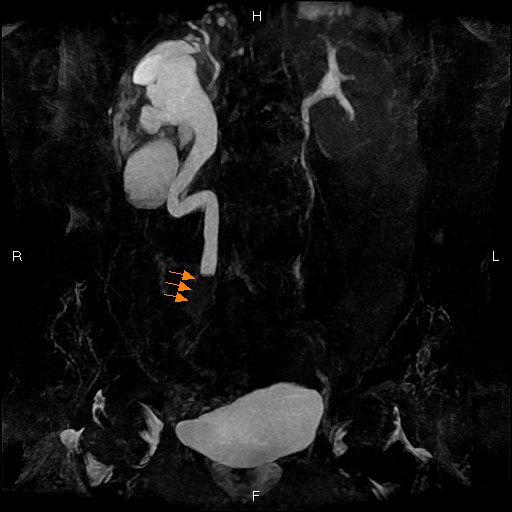
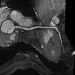
<腎動脈狭窄症>
<総胆管結石>
<尿管腫瘍>
<閉塞性動脈硬化症>心臓のMRI
心臓用32chコイルを使用して、短時間で高分解能な画像を得ることができます。ATP負荷パフュージョンによる心筋虚血の有無や遅延造影による心筋壊死などの心筋評価。また、非造影による冠動脈撮影や心機能評価など非侵襲的に有益な情報が得られます。
解析にはZIO Station2を用いて行います。専用のソフトウェアを使用してVR画像やCPR画像の作製をはじめ、 心機能解析や遅延造影解析など様々な評価が可能です。

前壁~下壁にかけてDefectを認め
<心筋梗塞>
<遅延造影解析>
<VR画像>
<CPR画像>
<心機能解析>頸動脈検査
頚動脈検査の第一選択として、超音波検査が用いられる事が多い。
被曝が無く非造影で検査できるという利点はあるが、超音波検査では骨に囲まれた起始部などの評価は難しい。
超音波によるスクリーニングにて狭窄や閉塞などが疑われる場合、当院では造影によるCTAを行っております。

下肢血管検査
近年、高齢化に伴いASOやDVTの増加が注目されてきています。
これらの検査は血管造影が主流でしたが最近ではCTやMRIで診断されるようになってきています。
しかし、細い側副血行路や末梢血管、血栓等の描出に関しては、造影によるCTAの方がより詳細であり検査時間も20分程と短時間です。

<ASO>
Coronary(冠動脈)検査
今まで5000例以上、様々な症例の検査を行っています。
新機種の320列CTと画像ワークステーションは、特に心臓領域において最大機能を活用して診断に役立てることができるようになりました。
冠動脈のスクリーニングや狭心症診断、PCIやCABG術後評価等に有用です。






Colonography (CTC) 検査
当院では内視鏡検査を実施した際に、医師の判断によりCTCの撮影を実施しています。
内視鏡の前処置をしているため、残渣の少ない状態での撮影が可能となり良好な画像を得ることができます。
内視鏡検査と組み合わせる事により、より精度の高い検査が可能になります。
解析した画像は消化器科と放射線科の2名の医師により診断しています。
また、2018年より下剤と一緒に経口造影剤を服用して病変と残渣を識別しやすくする『タギング(便標識)』の前処置での検査も始めました。従来の前処置の下剤よりも少量で済むため、患者様の負担を減らすことができるようになりました。

